Witaj w 4RAD!

Strona jest przeznaczona dla profesjonalistów związanych z medycyną lub obrotem wyrobami medycznymi.

https://4rad.pl/wp-content/uploads/2025/10/planmed-2.png
https://4rad.pl/wp-content/uploads/2025/10/planmed-2.png
Mammografy cyfrowe 2D/3D – z tomosyntezą

Planmed Clarity 3D

Planmed Clarity 3D to zaawansowany, cyfrowy system mammograficzny z tomosyntezą, wyznaczający nowy standard w obrazowaniu piersi. Wysoka jakość obrazu, intuicyjna obsługa oraz dbałość o komfort pacjenta tworzą rozwiązanie odpowiadające współczesnym wymaganiom diagnostycznym.

NAJWAŻNIEJSZE CECHY:

  • Zupełnie nowy system tomosyntezy (DBT) – nowy standard dla obrazowania piersi 3D.
  • Unikalna funkcja Continuous Sync-and-Shoot™ – uzyskanie “ostrych” obrazów bez rozmycia.
  • Innowacyjna technologia TomoMarker™ – poprawa jakości tomogramów.
  • MaxView™ – system pozycjonowania zwiększający pole diagnostyczne piersi.
  • Flex-AEC™ – inteligentny system doboru parametrów ekspozycji.
  • Stabilny i trwały detektor cyfrowy.

ERGONOMIA I OBSŁUGA:

  • SideAccess™ – optymalne pozycjonowanie pacjenta.
  • W pełni konfigurowalne podwójne wyświetlacze dotykowe.
  • Przejrzysty interfejs stacji technika Planmed Clarity™ Manager.
  • Profilowana osłona twarzy pacjenta oraz wygodne uchwyty.
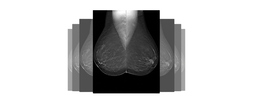
Tomosynteza
Tomosynteza
Zaawansowana<br />
Technologia Obrazowania
Zaawansowana
Technologia Obrazowania
Bezpieczeństwo <br />
i komfort Pacjenta
Bezpieczeństwo
i komfort Pacjenta
Intuicyjne<br />
Sterowanie
Intuicyjne
Sterowanie

Dopasowana jakość obrazowania

Planmed Clarity 3D to kompaktowy system zapewniający wyjątkowo ostre obrazy w tomosyntezie i mammografii cyfrowej. Funkcja Planmed S2D™ ułatwia interpretację i porównanie badań, a niższa dawka promieniowania i mniejszy nacisk zwiększają komfort pacjentki.

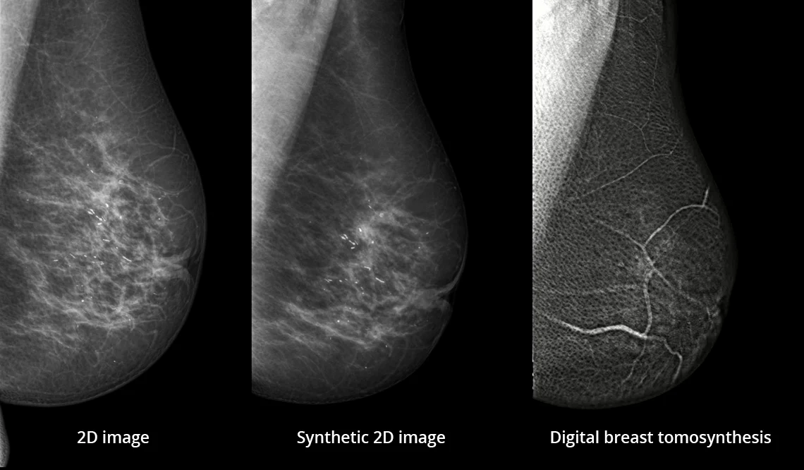
Zalety cyfrowej tomosyntezy piersi (DBT)

Cyfrowa tomosynteza piersi (DBT) tworzy warstwowy zestaw obrazów piersi, przez który można przewijać. Takie podejście eliminuje problem nakładających się struktur tkanek, co prowadzi do zwiększenia czułości i swoistości badania.

Unikalne podejście do cyfrowej tomosyntezy piersi

Unikalna metoda obrazowania Continuous Sync-and-Shoot™ firmy Planmed umożliwia uzyskanie obrazów tomosyntezy pozbawionych rozmycia ruchowego. Dzięki temu obrazy są wyjątkowo wyraźne i zapewniają doskonałą widoczność mikrozwapnień oraz innych drobnych struktur tkankowych.

 

Poznaj Planmed Clarity™

Najwyższa jakość przy minimalnej dawce

System Planmed Clarity 3D zapewnia doskonałą jakość obrazu przy możliwie najniższej dawce dla pacjentki. Dzięki współpracy z ekspertami łączy bezpieczeństwo, precyzję i możliwość dostosowania przetwarzania obrazu do preferencji radiologa.

Intuicyjna obsługa i komfort pracy

System Planmed Clarity™ zapewnia prostą, intuicyjną obsługę i płynny przebieg badań. Dzięki spersonalizowanemu oprogramowaniu, podwójnym ekranom dotykowym oraz w pełni zautomatyzowanym funkcjom technicy mogą skupić się na pacjentce, a nie na ustawieniach urządzenia.

Wybierasz mammograf z tomosyntezą?

Zarezerwuj darmową konsultację i poznaj rozwiązania dla Ciebie.

Broszura Produktu

Obrazy Kliniczne Planmed Clarity 3D

Planmed Clarity

Pracownia mammograficzna w Salve Medica w Łodzi

W pracowni mammografii Salve Medica w Łodzi zainstalowaliśmy nasz flagowy mammograf Planmed Clarity 3D wraz z Planmed Wave™

Planujesz pracownię RTG?

Zarezerwuj darmową konsultację i poznaj rozwiązania dla Ciebie.

Formularz kontaktowy

"*" oznacza pola wymagane

To pole jest używane do walidacji i powinno pozostać niezmienione.