Witaj w 4RAD!

Strona jest przeznaczona dla profesjonalistów związanych z medycyną lub obrotem wyrobami medycznymi.

Stomatologiczne aparaty RTG

Planmeca ProMax 3D Plus

Planmeca ProMax® 3D Plus jest kompletnym urządzeniem do obrazowania 3D, zapewniającym lepszą widoczność obszaru szczękowo-twarzowego, obejmującym nie tylko samo uzębienie.

FUNKCJE OBRAZOWANIA:

  • Kompleksowe 3D obrazowanie szczękowo-twarzowe.
  • Zaawansowane obrazowanie TMJ, zatok, tkanek miękkich, uszu.
  • Tryb endodontyczny z rozdzielczością woksela do 75 μm.
  • Korekcja ruchu pacjenta Planmeca CALM™.
  • Protokół Ultra Low Dose™ dla niskiej dawki promieniowania.

PROGRAMY OBRAZOWANIA:

  • Małe obszary od Ø4x5 cm do Ø10x10 cm.
  • Duże obszary do Ø20x10 cm.
  • Obrazowanie dróg oddechowych, kości skroniowej, ucha środkowego i kręgów.
Komfort <br />
w Pozycjonowaniu Pacjenta
Komfort
w Pozycjonowaniu Pacjenta
Intuicyjna <br />
Obsługa Romexis®
Intuicyjna
Obsługa Romexis®
Optymalizacja <br />
Obrazów Klinicznych
Optymalizacja
Obrazów Klinicznych
Niska <br />
dawka promieniowania
Niska
dawka promieniowania

Algorytm korekcji ruchu

Planmeca CALM®, to innowacyjny sposób usuwania artefaktów z obrazów CBCT powstałych w wyniku poruszenia się pacjenta. Algorytm ten dostępny jest opcjonalnie dla wszystkich oferowanych przez nas unitów 3D.

Zaawansowane obrazowanie TMJ

Unit Planmeca ProMax 3D Plus obsługuje woksele w rozmiarach od 600 do 75 μm, natomiast oprogramowanie Planmeca Romexis® oferuje wszechstronne narzędzia do wizualizacji dróg oddechowych, zatok, tkanek miękkich, a nawet najmniejszych struktur kostnych uszu.

Wysokiej jakości obrazowanie endodontyczne

Dzięki wielkości woksela 75 μm, nasz tryb obrazowania endodontycznego jest idealny do wykonywania zdjęć małych szczegółów anatomicznych. Wyjątkowo wysoka rozdzielczość pozwala wyraźnie widzieć nawet najbardziej wymagające obszary zabiegowe.

Obrazowanie CBCT przy ultraniskiej dawce

Planmeca Ultra Low Dose™ to unikalny sposób rejestrowania obrazów CBCT przy dawkach porównywalnych lub nawet niższych niż te stosowane podczas obrazowania panoramicznego. Ten protokół obrazowania może być wykorzystywany we wszystkich trybach obrazowania, bez względu na wielkość wokseli.

Modernizujesz gabinet CBCT?

Zarezerwuj darmową konsultację i poznaj rozwiązania dla Ciebie.

Obrazowanie złożone

Planmeca ProMax 3D Plus, to prawdziwie uniwersalny unit pozwalający na wykonywanie wszystkich rodzajów zdjęć. Poza obrazowaniem 3D, umożliwia także obrazowanie panoramiczne i cefalometryczne – zawsze z zachowaniem optymalnej jakości obrazu.

Wygodne skanowanie modeli 3D

Wszystkie Planmeca ProMax® 3D obsługują skanowanie modeli 3D. Zamiast używać skanera wewnątrzustnego, użytkownicy mogą wykonać skan CBCT wycisku lub odlewu gipsowego, aby szybko i sprawnie stworzyć model powierzchni. Plik STL modelu powierzchni może być następnie wykorzystany do planowania leczenia.

Wszechstronne oprogramowanie obrazujące

Oferowana przez nas platforma oprogramowania Planmeca Romexis® zapewnia najbardziej zróżnicowany wybór narzędzi do obrazowania dostępnych obecnie w branży stomatologicznej. Poza obrazowaniem 2D i 3D, obsługuje również cały proces CAD/CAM.

Zaawansowana technologia SCARA

Wszystkie oferowane przez nas systemy obrazowania wykorzystują opatentowane ramię SCARA, pozwalające na wykonywanie precyzyjnych i pozbawionych ograniczeń mechanicznych ruchów, dzięki czemu możliwe jest uzyskiwanie bezbłędnych i wyraźnych obrazów klinicznych.

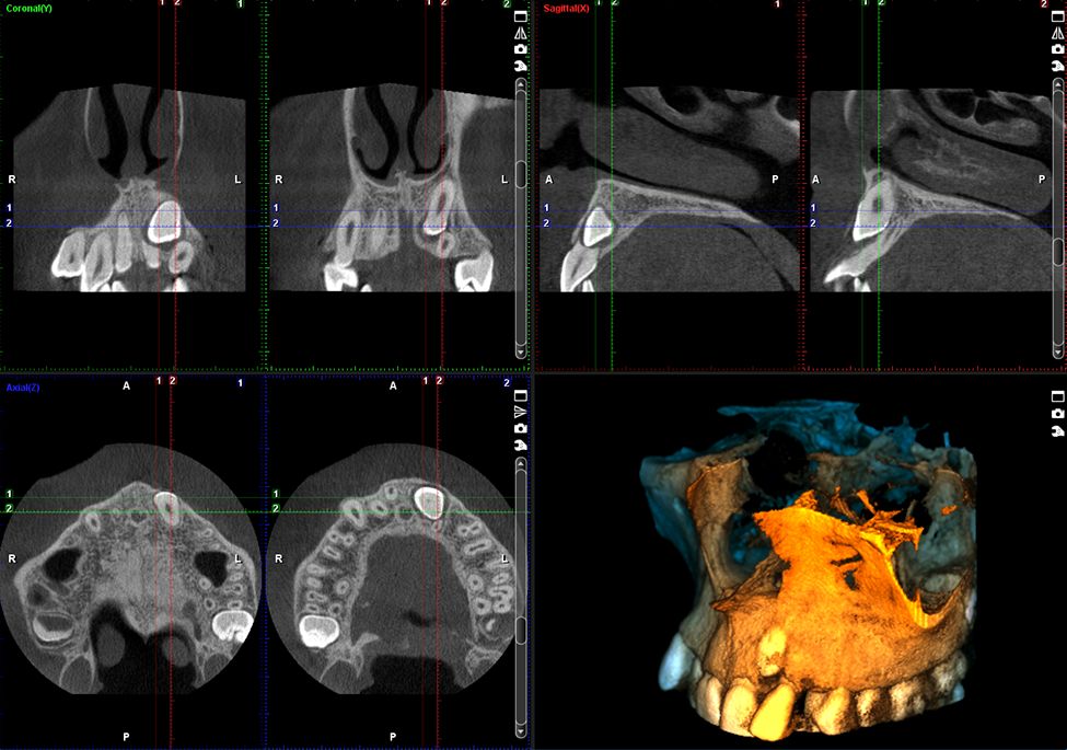
Obrazy Kliniczne Planmeca ProMax 3D Plus

Planujesz pracownię RTG?

Zarezerwuj darmową konsultację i poznaj rozwiązania dla Ciebie.

Formularz kontaktowy

"*" oznacza pola wymagane

To pole jest używane do walidacji i powinno pozostać niezmienione.