Witaj w 4RAD!

Strona jest przeznaczona dla profesjonalistów związanych z medycyną lub obrotem wyrobami medycznymi.

Stomatologiczne aparaty RTG

Planmeca Viso G5

Planmeca Viso® to flagowy aparat wśród urządzeń CBCT. Zapewnia idealne połączenie najwyższej jakości obrazu z zaawansowaną użytecznością. Aparat jest imponującym krokiem naprzód w dziedzinie rozwoju obrazowania RTG z wykorzystaniem wiązki stożkowej.

NAJWAŻNIEJSZE CECHY TOMOGRAFU:

  • W pełni funkcjonalny i wydajny tomograf CBCT do obrazowania stomatologicznego i szczękowo-twarzowego.
  • Pole widzenia do 20x17 cm, umożliwiające obrazowanie obszarów wykraczających poza uzębienie.
  • Szeroki wybór rozmiarów bloków tkankowych dostosowanych do różnych potrzeb diagnostycznych.
  • Znakomita jakość obrazu dzięki zaawansowanym technologiom i programom obrazowania.

FUNKCJE:

  • Obejmuje programy 3D dla stomatologii i laryngologii, obrazowanie 2D oraz cefalometrię.
  • Funkcje poprawy jakości obrazu: protokół Planmeca Ultra Low Dose™ i korekcja artefaktów ruchowych Planmeca CALM®.
  • Podgląd pacjenta na żywo na panelu sterowania dla precyzyjnego pozycjonowania i komfortu pacjenta.
  • Integracja z oprogramowaniem Planmeca Romexis® typu „all-in-one” dla diagnostyki i planowania leczenia.
  • Głowica lampy z możliwością napięcia do 120 kV dla lepszej penetracji i jakości obrazu w trudnych przypadkach.
Objętość <br />
do 20x17 cm
Objętość
do 20x17 cm
Precyzyjna <br />
Diagnostyka 3D
Precyzyjna
Diagnostyka 3D
Zaawansowana<br />
Jakość Obrazu
Zaawansowana
Jakość Obrazu
Komfort Pacjenta
Komfort Pacjenta

Rodzina Planmeca Viso CBCT

Rodzina produktów Planmeca Viso obejmuje dwa nowoczesne urządzenia CBCT, zapewniające znakomitą jakość obrazu oraz wspólny zestaw zaawansowanych funkcji. Różnica między nimi dotyczy wyłącznie zakresu obsługiwanych objętości: Planmeca Viso® G7 umożliwia ich regulację od 3×3 do 30×30 cm, natomiast Planmeca Viso® G5 pracuje w zakresie od 3×3 do 20×17 cm.

Obrazowanie dla wszystkich potrzeb klinicznych

Planmeca Viso™ oferuje szeroki wybór objętości, aby zaspokoić wszystkie potrzeby kliniczne – od pojedynczego zęba po całą czaszkę. Czujnik 3D unitu wykonuje również obrazowanie 2D.

Pionierskie pozycjonowanie pacjenta i pola widzenia

Zintegrowane kamery Planmeca Viso G5 umożliwiają podgląd pacjenta w czasie rzeczywistym na panelu sterowania, co pozwala na precyzyjne pozycjonowanie pola widzenia i swobodną regulację bloku tkankowego. Otwarta konstrukcja urządzenia umożliwia ustawienie pacjenta twarzą do operatora, co poprawia komunikację i komfort podczas badania.

Poznaj Planmeca Viso G5

Jeszcze lepsze zdjęcia Planmeca ProFace®

Wykonuj zdjęcia twarzy w 3D za pomocą Planmeca ProFace®, opatentowanego aparatu i systemu oświetlenia LED, który umożliwia uzyskanie wyjątkowo szczegółowych zdjęć 3D pacjentów. Łącząc zdjęcia z wyciskami cyfrowymi i obrazami CBCT, możesz tworzyć niepowtarzalnych wirtualnych pacjentów.

Innowacyjne oprogramowanie i algorytmy

Planmeca Viso G5 integruje się z oprogramowaniem Planmeca Romexis® typu „all-in-one”, oferując niezrównaną diagnostykę i planowanie leczenia. Jakość obrazu optymalizują opatentowane funkcje: protokół Planmeca Ultra Low Dose™ i korekcja artefaktów ruchowych Planmeca CALM®.

Szukasz aparatu RTG do gabinetu?

Zarezerwuj darmową konsultację i poznaj rozwiązania dla Ciebie.

Śledzenie ruchu szczęk w czasie rzeczywistym

System Planmeca 4D™ Jaw Motion, to unikalna metoda trójwymiarowego śledzenia ruchów szczęki. Pozwala na wizualizację oraz w czasie rzeczywistym dostarcza danych pomiarowych ruchu szczęki.

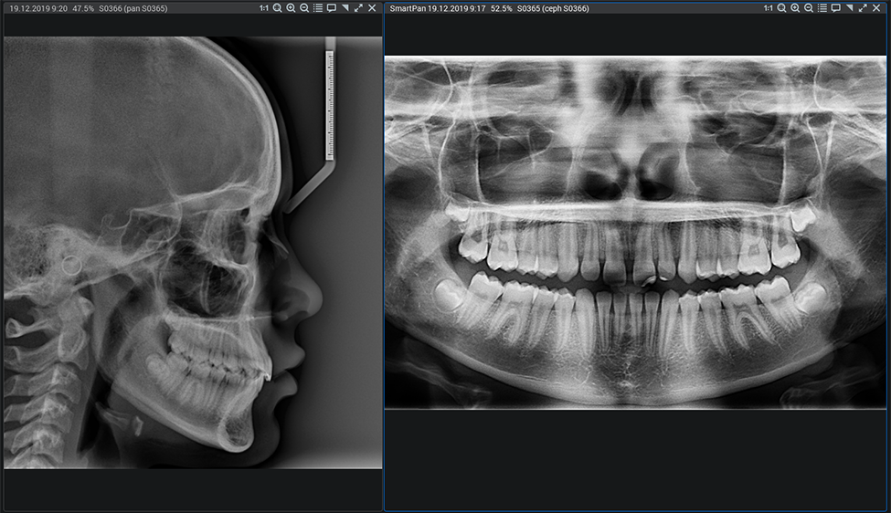
Obrazy Kliniczne Planmeca Viso G5

Planujesz pracownię RTG?

Zarezerwuj darmową konsultację i poznaj rozwiązania dla Ciebie.

Formularz kontaktowy

"*" oznacza pola wymagane

To pole jest używane do walidacji i powinno pozostać niezmienione.