Witaj w 4RAD!

Strona jest przeznaczona dla profesjonalistów związanych z medycyną lub obrotem wyrobami medycznymi.

Stomatologiczne aparaty RTG

Planmeca Viso G7

Planmeca Viso® to flagowy aparat wśród urządzeń CBCT. Zapewnia idealne połączenie najwyższej jakości obrazu z zaawansowaną użytecznością. Aparat jest imponującym krokiem naprzód w dziedzinie rozwoju obrazowania RTG z wykorzystaniem wiązki stożkowej.

NAJWAŻNIEJSZE CECHY TOMOGRAFU:

  • Pole widzenia do 30x30 cm, umożliwiające obrazowanie obszarów wykraczających poza uzębienie.
  • Szeroki wybór rozmiarów bloków tkankowych dostosowanych do różnych potrzeb diagnostycznych.
  • Znakomita jakość obrazu dzięki zaawansowanym technologiom i programom obrazowania.

FUNKCJE:

  • Obejmuje programy 3D dla stomatologii i laryngologii, obrazowanie 2D oraz cefalometrię.
  • Funkcje poprawy jakości obrazu: protokół Planmeca Ultra Low Dose™ i korekcja artefaktów ruchowych Planmeca CALM®.
  • Podgląd pacjenta na żywo na panelu sterowania dla precyzyjnego pozycjonowania i komfortu pacjenta.
  • Integracja z oprogramowaniem Planmeca Romexis® typu „all-in-one” dla diagnostyki i planowania leczenia.
  • Głowica lampy z możliwością napięcia do 120 kV dla lepszej penetracji i jakości obrazu w trudnych przypadkach.
Objętość <br />
do 30x30 cm
Objętość
do 30x30 cm
Precyzyjna <br />
Diagnostyka 3D
Precyzyjna
Diagnostyka 3D
Zaawansowana <br />
Jakość Obrazu
Zaawansowana
Jakość Obrazu
Komfort Pacjenta
Komfort Pacjenta

Rodzina Planmeca Viso CBCT

Rodzina produktów Planmeca Viso obejmuje dwa nowoczesne urządzenia CBCT, zapewniające znakomitą jakość obrazu oraz wspólny zestaw zaawansowanych funkcji. Różnica między nimi dotyczy wyłącznie zakresu obsługiwanych objętości: Planmeca Viso® G7 umożliwia ich regulację od 3×3 do 30×30 cm, natomiast Planmeca Viso® G5 pracuje w zakresie od 3×3 do 20×17 cm.

Obrazowanie dla wszystkich potrzeb klinicznych

Planmeca Viso™ oferuje szeroki wybór objętości, aby zaspokoić wszystkie potrzeby kliniczne – od pojedynczego zęba po całą czaszkę. Czujnik 3D unitu wykonuje również obrazowanie 2D.

Wirtualne pozycjonowanie FOV w czasie rzeczywistym

Pozycjonowanie pacjenta odbywa się bezpośrednio z panelu sterowania z wykorzystaniem zintegrowanych kamer i podglądu na żywo, co umożliwia elastyczne i precyzyjne ustawienie pola widzenia (FOV). Otwarta konstrukcja aparatu pozwala pacjentowi być zwróconym twarzą do użytkownika, co poprawia komunikację i komfort podczas badania.

Poznaj Planmeca Viso

Jeszcze lepsze zdjęcia Planmeca ProFace®

Wykonuj zdjęcia twarzy w 3D za pomocą Planmeca ProFace®, opatentowanego aparatu i systemu oświetlenia LED, który umożliwia uzyskanie wyjątkowo szczegółowych zdjęć 3D pacjentów. Łącząc zdjęcia z wyciskami cyfrowymi i obrazami CBCT, możesz tworzyć niepowtarzalnych wirtualnych pacjentów.

Modernizujesz gabinet stomatologiczny?

Umów darmową konsultację i poznaj nowoczesne RTG.

Najnowocześniejsze obrazowanie endodontyczne

Generowanie hałasu jest naturalne przy wysokiej rozdzielczości obrazowania endodontycznego. Tryb 75 μm w połączeniu z opartą na AI optymalizacją szumów Planmeca NOA™ eliminuje ten problem, gwarantując wyraźne i czyste obrazy CBCT idealne do endodoncji.

Śledzenie ruchu szczęk w czasie rzeczywistym

System Planmeca 4D™ Jaw Motion, to unikalna metoda trójwymiarowego śledzenia ruchów szczęki. Pozwala na wizualizację oraz w czasie rzeczywistym dostarcza danych pomiarowych ruchu szczęki.

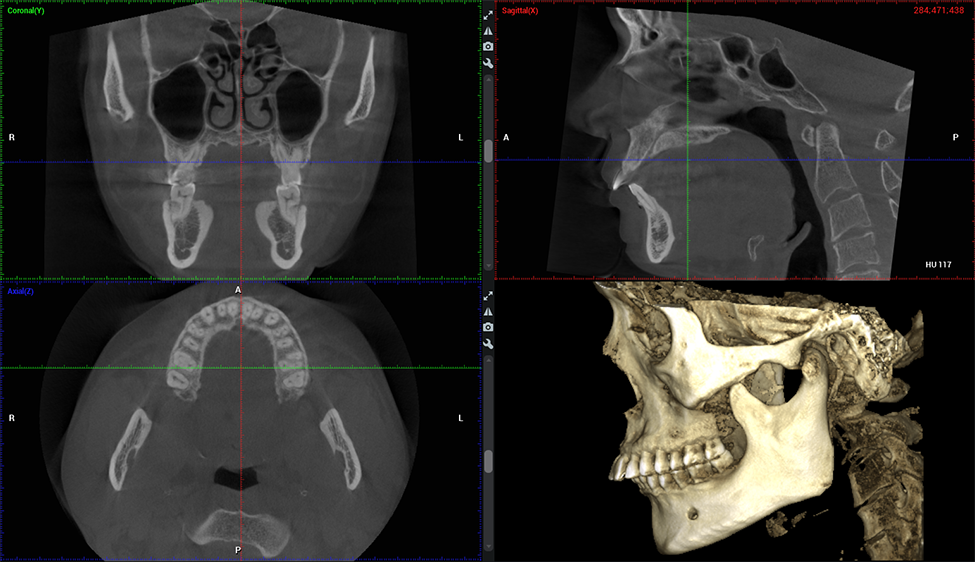
Obrazy Kliniczne Planmeca Viso G7

Planujesz pracownię RTG?

Zarezerwuj darmową konsultację i poznaj rozwiązania dla Ciebie.

Formularz kontaktowy

"*" oznacza pola wymagane

To pole jest używane do walidacji i powinno pozostać niezmienione.